El paciente sufrió una perforación traqueal espontánea según el diagnóstico médico.
Contener un estornudo puede ser mortal, como demostró el caso de un hombre de Escocia que sufrió un desgarre en la tráquea que casi le cuesta la vida.
El paciente de 30 años sufrió una perforación traqueal espontánea por la fuerza del aire que expulsó su sistema respiratorio, según informó la publicación médica BJM Journals.
La revista detalla que la persona sintió un dolor agudo en la garganta luego de taparse la nariz para contener su estornudo, y más tarde fue diagnosticado por médicos de la Universidad de Dundee.
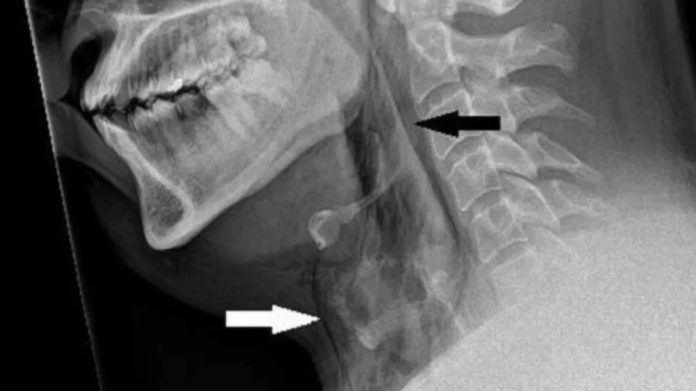
El accidente ocurrió cuando el hombre, con antecedentes de rinitis alérgica, conducía su automóvil con el cinturón de seguridad puesto. De inmediato su cuello se inflamó, y una radiografía reveló su padecimiento.
“Las perforaciones traqueales son causadas por lesiones iatrogénicas o traumáticas después de una tiroidectomía, intubación traumática, procedimiento de traqueotomía percutánea. Es muy difícil que ocurra”, reporta BJM Journals.

La herida en la tráquea del paciente tiene dimensiones de 2 milímetros x 2 mm x 5mm, y se encuentra entre la tercera y cuarta vértebra.
Tras el descubrimiento de su lesión, el paciente permaneció en observación durante 48 horas aunque no fue necesaria ninguna intervención quirúrgica para curarlo. Luego fue dado de alta con anestesia.
“Fue tratado sintomáticamente del dolor con 1 g de paracetamol y 30 mg de codeína, según necesidad. Para la rinitis alérgica y la congestión nasal, se le recetaron 10 mg de cetirizina una vez al día (…) No se administraron antibióticos”, abunda BJM Journal.
Cabe recordar que un estornudo es capaz de producir una presión de entre 1 y 2 kilo Pascales (kPa), pero cuando se tapa la nariz y boca ésta puede aumentar hasta 20 veces.




